DR. Pablo Peña Tapia
Neurocirujano
RESEÑA HISTÓRICA PROFESIONAL
– Curso “Métodos Experimentales y Manejo de Animales de Laboratorio” Universidad de Heidelberg, 2005.
– Curso de Anatomía Neuroquirúrgica “Cambridge Lectures in Neurosurgical Anatomy” Universidad de Cambridge, 2006.
– Curso de Craneotomías, Universidad de Frankfurt, 2007
– Curso de Microcirugía Vascular, (Fr. Frick) Kantonspital Universidad de Zürich, 2007
– Curso de Neuroendoscopía Intracerebral, Aesculap Akademie, Berlin, 2008
– Curso de Abordajes Microquirúrgicos para las estructuras Cerebrales Profundas, Universidad Heinrich Heine, Düsseldorf 2008.
– Curso de Instrumentación Espinal, Universidad de Alicante, 2008.
– Curso de Creación y Clipaje Microquirúrgico de Aneurismas Cerebrales, Universidad de Bochum, 2008.
– Curso Avanzado de Cirugía Endoscópica de Hipófisis, Krankenhaus der Barmherzigen Bruder, Trier, 2010. (Prof. Bettag)
– Estancia Formativa Microcirugía de Tumores y Aneurismas Cerebrales, Departamento de Neurocirugía, Hospital Universitario de Helsinki, Finlandia (Prof. J. Hernesniemi) 2010.
– Estancia Formativa, Departamento de Neuroendoscopía y Neuronavegación, Hospital Clínico i Provincial de Barcelona (Prof. Ferrer). 2010.
– Estancia Formativa, Departamento de Neurocirugía, Charité Universitätsmedizin, Berlin (Prof. P. Vajkoczy) 2013.
– Electo Miembro de la Sección Cerebrovascular de la Asociación Americana de Neurocirujanos desde Enero 2017.
– Reelecto Jefe del Departamento de Cirugía del Hospital Universitario del Río período 2018-2020
– Vocal Principal del Directorio Hospital Universitario del Río período 2018-2020
– Electo Miembro del Tribunal de Honor del Colegio de Médicos del Azuay 2018-2020
– Miembro del Comité de Publicaciones del Colegio de Médicos del Azuay 2018-2020
– Profesor del Postgrado de Neuropsicología Universidad del Azuay 2018-2020
Citas Academicas
indices de citas |
Total |
desde 2012 |
|---|---|---|
| citas | 430 | 281 |
| indice h | 11 | 9 |
| indice i10 | 11 | 9 |
Nuestra
Trayectoria
- Sociedad Ecuatoriana de Neurocirugía (SENC), Miembro Ordinario
- Sociedad Alemana de Neurocirugía (DGNC), Miembro Extraordinario
- Miembro de la Sección Cerebro vascular de la Asociación Americana de Neurocirujanos
- Sociedad Americana de Neurocirujanos (AANS), Miembro Internacional
- Miembro Ordinario de AOSpine Internacional
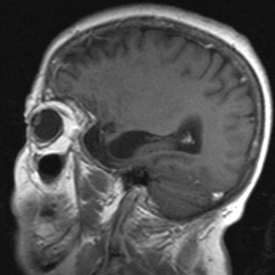
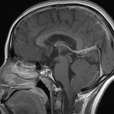
CASOS DE EXITO

Especializado
en la Universidad de Heidelberg
Alemania
| Dr. Pablo Peña | |
| Lunes: | 10:30 am – 13:00 pm, 16:30 pm – 19:00 pm |
| Martes: | 10:30 am – 13:00 pm, 16:30 pm – 19:00 pm |
| Miércoles: | 10:30 am – 13:00 pm, 16:30 pm – 19:00 pm |
| Jueves: | 10:30 am – 13:00 pm, 16:30 pm – 19:00 pm |
| Viernes: | 10:30 am – 13:00 pm, 16:30 pm – 19:00 pm |
| Sábado: | CON PREVIA CITA |
| Domingo: | CERRADO |

