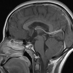
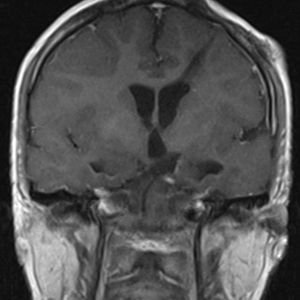
CRANEOFARINGEOMA

DESCRIPCIÓN
Lorem ipsum dolor sit amet, consectetur adipisicing elit, sed do eiusmod tempor incididunt ut labore et dolore magna aliqua. Ut enim ad minim veniam.
…El instinto de supervivencia superara cualquier limitación.
Lorem ipsum dolor sit amet, consectetur adipisicing elit, sed do eiusmod tempor incididunt ut labore et dolore magna aliqua.
ESTADÍSTICAS
Riesgo de operación
0%
Operación Exitosa
0%
Recuperación
0%
Tratamiento
0%