Skip to main content Scroll Top

ESCLEROSIS TUBEROSA

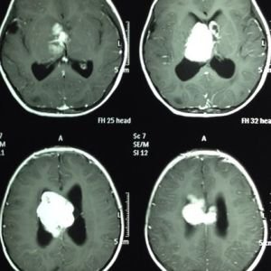
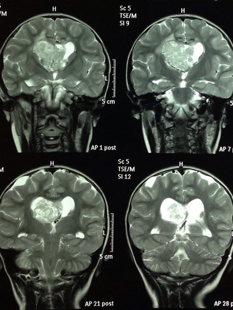
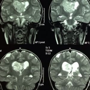
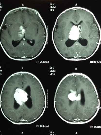
DESCRIPCIÓN

Lorem ipsum dolor sit amet, consectetur adipisicing elit, sed do eiusmod tempor incididunt ut labore et dolore magna aliqua. Ut enim ad minim veniam.

…El instinto de supervivencia superara cualquier limitación.

Lorem ipsum dolor sit amet, consectetur adipisicing elit, sed do eiusmod tempor incididunt ut labore et dolore magna aliqua.

ESTADÍSTICAS

Riesgo de operación
0%
Operación Exitosa
0%
Recuperación
0%
Tratamiento
0%

Dejar un comentario